Dünya Sağlık Örgütü tarafından resmen pandemi (büyük ölçekli salgın) olarak ilan edilen corona virüsü ile ilgili kötü haberlerin yanı sıra iyi haberler de gelmeye başladı. Sözcü'den edinilen bilgilere göre; salgının çıktığı Hubei eyaletinde aylar sonra üretime devam edilme kararı alındı. Bu açıklamadan çok kısa bir süre sonra ise İsrail'in çok okunan gazetelerinden Haaretz, İsrailli bilim insanlarının corona virüsüne karşı bir aşı geliştirdiğini duyurdu.
Çin’in Hubei eyaletindeki Wuhan kentinde başladıktan kısa bir süre sonra salgın bir hastalık halini alan corona virüsü (Co-vid19) ile ilgili Çin’den yeni bir açıklama geldi. Çin hükümetinin resmi yayın organlarından biri olan Global Times, Hubei eyaletinde üretime devam edilme kararı aldığını okurlarına aktardı.
Haberde ayrıca Çin’deki dört bölgedeki seyahat yasaklarının da gevşetildiği belirtildi.

Öte yandan İsrail’in çok okunan İngilizce yayın yapan gazetelerinden Haaretz, manşetlerinden duyurduğu haberde, İsrailli bilim insanlarının corona virüsü ile ilgili bir aşı geliştirdiğini okurlarına aktardı. Haaretz’in manşetlerden gösterdiği haberde, Biyolojik Araştırma Enstitüsü’nde görevli bilim insanlarının virüsü anlamak için önemli adımlar attığı belirtildi.
Gazeteye konuşan kaynaklar, uzun klinik öncesi ve klinik testlere ihtiyaç olduğunu söyledi. Gazeteye konuşan kaynaklar, bilim insanlarının virüsün biyolojik mekanizması ile değerleri anlama konusunda önemli adımlar attığını söylerken, “Tanı özellikleri, antikor üretimi ve aşı üretimi” gibi konularda önemli adımlar atıldığını aktardı.
Fakat üretilecek aşının gerçekten etkili olması ya da kullanımının komplikasyon yaratmayacağından emin olmak için bir dizi testler yapılması gerektiği belirtildi. Uzmanlar bu testlerin aylar sürebileceğini de vurguladı.
Virüs örnekleri 3 hafta önce gelmiş
Haaretz’e açıklama yapan Savunma Bakanlığı, “Henüz bir aşı bulunması gibi bir durum söz konusu değil. Ensitütünün çalışması düzenle ilerliyor. Eğer bir açıklama yapılması gerekirse bu bilindik yöntemlerle yapılır. Biyolojik enstitümüz dünyanın önde gelen araştırma ve gelişme merkezidir. Virüsle mücadele edecek aşıyı bulmak için 50’den fazla deneyimli bilim insanı çalışıyor” ifadesini kullandı.
İsrail’in çok okunan Yedioth Ahronot’un internet sitesinde aşı sürecinin detayları yer aldı. Gazete, yaklaşık 3 hafta önce Japonya, İtalya ve diğer ülkelerden virüs örneği geldiğini yazarken, “Bu örnekler Savunma Bakanlığı tarafından özel olarak korundu ve Biyolojik Araştırmalar Enstitüsü’ne getirildi. Örnekler eksi 80 derecede donduruldu. Sağlık bakanlığı ve savunma bakanlığından kaynaklar örneklerin gelmesinin ardından uzmanların çok yoğun bir çalışma içinde olduğunu söyledi” şeklinde gelişmeyi duyurdu.

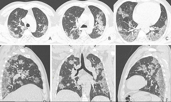
Coronanın ciğerlere etkisi ortaya çıktı
Merkezi ABD’de bulunan Kuzey Amerika Radyoloji Topluluğu tarafından paylaşılan röntgen görüntüleri corona virüsünün ciğerlere nasıl etki ettiğini gözler önüne serdi. Uluslararası basın kuruluşlarına yansıyan görüntülerde Whan’daki deniz ürünleri pazarında çalışan 44 yaşındaki bir corona virüsü hastasının ciğerlerindeki doluluk oranı görülüyor.
Yapılan açıklamada röntgeni çekilen 44 yaşındaki hastanın 25 Aralık 2019’da hastaneye öksürük ve yüksek ateş dolayısıyla gittiği ve tedavi altına alındığı belirtildi. Yetkililer doktorların müdahalesine rağmen hastanın bir hafta sonra öldüğünü aktardı.

İngiliz tabloid gazetesi Daily Mail’deki haberde Wuhan’a gittikten sonra hastalanan 54 yaşındaki bir kadının da ciğer röntgenleri paylaşıldı. Hastanın yüksek ateş, öksürük, halsizlik ve göğüs ağrısı şikayetiyle hastaneye gittiği belirtilirken, hastaya oksijen ve antibiyotik verildiği belirtildi. Japonya’ya döndükten sonra hastanın ilaç tedavisiyle birlikte iyileştiği açıklandı. Haberde, bu tür değişikliklerin SARS ve MERS hastalardakilerine benzediği belirtildi.
Yunanistan'da ilk ölüm
Yunanistan Sağlık Bakanlığı ülkede corona virüsüne bağlı ilk ölümün meydana geldiğini duyurdu. Yapılan açıklamada 66 yaşındaki bir adamın yaşamını yitirdiği belirtildi.
Yaşamını yitiren hastanın Şubat ayının sonunda Mısır ve İsrail’e gittiği belirtildi.
Tayland Sağlık Bakanlığı, 11 yeni corona virüsü vakası tespit edildiğini açıkladı. Yetkililer toplam vaka sayısının 70’e çıktığını duyurdu.
Corona virüsünün en sert etkilediği ülkelerin başında gelen İtalya’dan da flaş bir açıklama geldi. İtalya Başbakanı Giuseppe Conte, üretim için ihtiyaç duyulmayan bütün şirket departmanlarının kapatılacağını açıkladı. Conte ayrıca marketler ve eczaneler dışındaki bütün mağazaların da kapatılacağını dile getirdi.
60 milyon nüfusa sahip ülkenin başbakanı, dün gece 9 dakikalık bir ulusa sesleniş konuşması yaptı. Conte, “Fedakarlık yapan bütün İtalyanlara teşekkür ederim. Müthiş bir ulus olduğumuzu kanıtlıyoruz” dedi.
Son rakamlara göre İtalya’da bir günde ölü sayısı yüzde 31 artarak 827’ye çıktı.

Corona virüsünde son durum
Reuters haber ajansı resmi devlet kurumları ve resmi açıklamalardan derlediği haber ile salgın hastalığın son durumunu gözler önüne serdi… Çin’in dışında 122 ülkede corona virüsü vakası görülürken, Küba, Honduras ve Fildişi Sahilleri’nde ilk vakalar görüldü.
Bulgaristan, İrlanda, İsveç ve Endonezya’da da Yunanistan ile birlikte ilk ölümlü vaka yaşandı. Dünya çapında 126.000 kişide corona virüsü tespit edilirken resmi rakamlara göre 4.625 kişi yaşamını yitirdi.
Washinton'da toplantılar iptal
ABD Başkanı Donald Trump’ın “ortak düşmanımız” dediği corona virüsü, başkent Washington’da da paniğe sebep oldu. Washington Belediye Başkanı Muriel E. Bowser, eyalette 6 yeni corona virüsü vakasının görüldüğünü bildirerek, olağanüstü hal (OHAL) ilan edildiğini açıkladı.
Washington Post'ta yer alan habere göre Bowser, bu ayın sonuna kadar kalabalık toplantıların iptal edildiğini açıkladı. Washington'daki OHAL ilanı, Muriel Bowser'a tıbbi gerekçelerle karantina ya da federal afet bütçesinden kaynak talep etme imkanı veriyor.
ABD Başkanı Donald Trump, sıklıkla kullandığı Twitter üzerinden corona virüsü ile ilgili çarpıcı tespit ve açıklamalarda bulundu.

Trump, şu ifadeleri kullandı:
* Medya bu durumu bir birlik ve güç zamanı olarak görmelidir.
* Ortak bir düşmanımız var, aslında dünyanın bir düşmanı, Corona virüsü.
* Mümkün olduğunca çabuk ve güvenli bir şekilde yenmeliyiz.
* Benim için ABD'nin yaşam ve güvenliğinden daha önemli bir şey yok!
ABD Başkanı Trump, bu mesajından kısa bir süre sonra ulusa sesleniş konuşması yaptı. Covid-19 isimli salgın hastalık ile ilgili açıklamalarda bulunan Trump, Birleşik Krallık haricinde Avrupa Birliği ülkelerine seyahat kısıtlaması getirdi.
“Yeni vakaların sınırlarımıza girmesini engellemek için bu zor kararı aldım” diyen Trump bu yasağın gelişmelere göre değişebileceğini dile getirdi. Trump ayrıca bu kararın yurt dışında bulunan ABD vatandaşlarını kapsamadığını, ABD vatandaşlarının kontrol edilerek ülkeye alınacaklarını açıkladı. “Çin'de başlayan salgın tüm dünyaya yayıldı” diyen Trump WHO'nun salgını pandemi olarak tanımladığını hatırlattı.
Avrupalılar şok oldu
Federal hükümetin tüm kaynaklarını halkı korumak için kullandığını belirten Trump “Bu modern tarihte bir virüse karşı yapılan en kapsamlı harekât” dedi. Trump ayrıca bir tedavi bulunması için tam destek verdiklerini de söyledi. Trump ayrıca halkı ve özellikle yaşlıların dikkatli olması konusunda uyarıda bulundu.
Fakat Trump’ın bu açıklamaları Avrupa Birliği ülkelerinde adeta bir şok etkisi yarattı… Reuters’a açıklama yapan bir Avrupalı diplomat, Trump’ın AB yetkilileriyle iletişime geçmediğini ve bu durumun kendileri için bir sürpriz olduğunu söyledi.
İsmini açıklamayan diplomat, “Televizyonda Trump, müttefikleriyle sık sık görüştüğünü söyledi fakat alınan bu karardan bizim haberimiz yoktu” dedi.
WHO pandemi ilan etti
Dün gece Dünya Sağlık Örgütü (WHO) Genel Direktörü Tedros Adhanom Ghebreyesus, Cenevre'deki genel merkezde corona virüsü (Covid-19) gündemiyle basın toplantısı gerçekleştirdi.
Çin dışında vaka sayının 13 kat arttığını ifade eden Ghebreyesus, corona virüsü için, kıta ve tüm dünya gibi çok geniş bir alanda yayılan ve etkisini gösteren salgın hastalıklara verilen “Pandemi” olarak nitelendirme kararını aldıklarını açıkladı.
Ghebreyesus, örgüt olarak salgını 24 saat boyunca izlendiğini dile getirerek, “Hem virüsün yayılma ve şiddetinden hem de virüse karşı yeterince harekete geçilmemesinden derin endişe duyuyoruz. Bundan dolayı Covid-19'un bir pandemi olarak nitelendirilmesi değerlendirmesini yaptık” şeklinde konuştu.
Pandemi nedir?
Dünyada eş zamanlı olarak çok yaygın bir şekilde çok fazla sayıda insanı tehdit eden bulaşıcı hastalıklara verilen isim. Pandemiler veya pandemik hastalıklar, bir kıta, hatta tüm dünya yüzeyi gibi çok geniş bir alanda yayılan ve etkisini gösteren salgın hastalıklara (epidemi) verilen genel addır.
Corona virüsü nedir?
Corona virüsleri, hayvanlar arasında yaygın olan bir grup virüstür. Nadiren bazı durumlarda, bilim insanları Corona virüslerinin “zoonotik” olduğunu belirtiyor. ABD Hastalık Kontrol ve Önleme Merkezi’ne göre; “zoonotik” ifadesi, virüslerin hayvandan insana geçebileceği anlamına geliyor.
Corona virüsü belirtileri
Corona virüsü semptomları şöyle: Burun akıntısı, öksürük, boğaz ağrısı, muhtemelen baş ağrısı, kesin olmamakla birlikte birkaç gün sürebilecek ateş. Bağışıklık sistemi zayıf olanlar, yaşlılar ve çok gençler için virüsün zatürre ve bronşit gibi ciddi solunum yolu hastalıklarına yol açma ihtimali bulunuyor. MERS ve Sars gibi ölümcül olabilen ve insana geçen bazı Corona virüsleri olduğu biliniyor.
Corona virüsleri insanların hayvanlara temasıyla yayılabiliyor. Virüsün insandan insana geçmesi ise bir kişinin virüsle enfekte olmuş bir kişinin salgısıyla temasıyla gerçekleşiyor. Çinli bir virolog, virüsün kaynağının muhtemelen yarasalar olduğunu öne süren bir çalışma yayınladı.
Corona virüsü tedavisi
Corona virüslerinin spesifik bir tedavisi bulunmuyor. Çoğu zaman semptomlar kendi kendine geçiyor. Hekimler, ağrı kesici ve ateş düşürücü ilaçlar yazarak semptomatik (belirtilerin giderilmesine yönelik) tedavi uyguluyor.
Doktorlar, oda nemlendirici ve sıcak duşun boğaz ağrısına ve öksürüğe iyi geleceğini söylüyor. Hastalanan insanların bol sıvı tüketmesi, mümkün olduğunca dinlenmesi ve uyuması gerekiyor.
Editör: Buğurcan Baştuğ





Haber Yorumları
Yorum Yazın
Dikkat! Suç teşkil edecek, yasadışı, tehditkar, rahatsız edici, hakaret ve küfür içeren, aşağılayıcı, küçük düşürücü, kaba, pornografik, ahlaka aykırı, kişilik haklarına zarar verici ya da benzeri niteliklerde içeriklerden doğan her türlü mali, hukuki, cezai, idari sorumluluk içeriği gönderen Üye/Üyeler’e aittir.